혹시 여러분 중에 운동을 하거나, 다른 이유로 인해 갈비뼈에 금이 간 적 있으신가요?
갈비뼈에 금이 가면 보이는 증상과 치료기간
서론
갈비뼈에 금이 가게 되면 일상생활에 상당한 지장을 주며, 심한 경우에는 고통스러운 통증을 경험할 수 있습니다. 또한 제 때 치료를 받지 않으면 통증이 다른 부위로 전이될 수도 있으므로 증상을 무시하지 않아야 합니다. 이 블로그 포스팅에서는 갈비뼈에 금이 가면 보이는 증상과 대처 방법, 치료 기간 등을 알아보도록 하겠습니다.

갈비뼈에 금이 가면 보이는 증상
갈비뼈에 금이 가면 몸의 움직임에 따라 증상이 나타날 수 있습니다. 이러한 증상들은 개인에 따라 다르게 나타날 수 있으며, 주로 다음과 같은 증상이 포함됩니다:
- 통증: 갈비뼈에 금이 조금만 가도 가만히 있어도 통증을 느낄 수 있습니다. 의자에 앉거나 누워 있을 때 몸을 옆으로 비틀기만 해도 가슴 부위가 찌릿해지는 통증이 느껴집니다.
- 재채기 통증: 재채기를 하거나 기침을 할 때 통증이 심해질 수 있습니다.
- 구부정한 자세: 가슴, 옆구리 쪽 통증이 심해 구부정한 자세를 취하게 될 수 있으며, 이로 인해 허리나 척추에 무리가 가게 됩니다.
- 다른 부위 통증: 금이 간 갈비뼈로 인해 다른 부위에도 통증이 전이될 수 있습니다.
왼쪽 갈비뼈 아래 통증의 원인
왼쪽 갈비뼈 아래 통증의 원인은 다양합니다. 주요한 원인들은 다음과 같습니다:
- 급성 췌장염: 찌르는 듯한 극심한 통증이 왼쪽 갈비뼈 아래에서 느껴진다면 급성 췌장염을 의심할 수 있습니다.
- 과민성 대장증후군: 왼쪽 갈비뼈 아래 통증을 일으킬 수 있는 질환으로, 복통과 함께 설사, 변비, 잦은 트림, 방귀 등이 동반됩니다.
- 지라 비대증: 비장이 감염되어 비장이 비정상적으로 커지게 되면 왼쪽 갈비뼈 아래 통증이 발생할 수 있습니다.
오른쪽 갈비뼈 아래 통증의 원인
오른쪽 갈비뼈 아래 통증의 주요 원인은 다음과 같습니다:
- 늑간 신경통: 테니스, 골프, 야구 등 스윙 폼이 많은 스포츠 선수들에게 발병하는 질환으로, 옆구리 뒤쪽부터 가슴까지 오른쪽이나 왼쪽 중 한 곳이 아픈 경우가 많습니다.

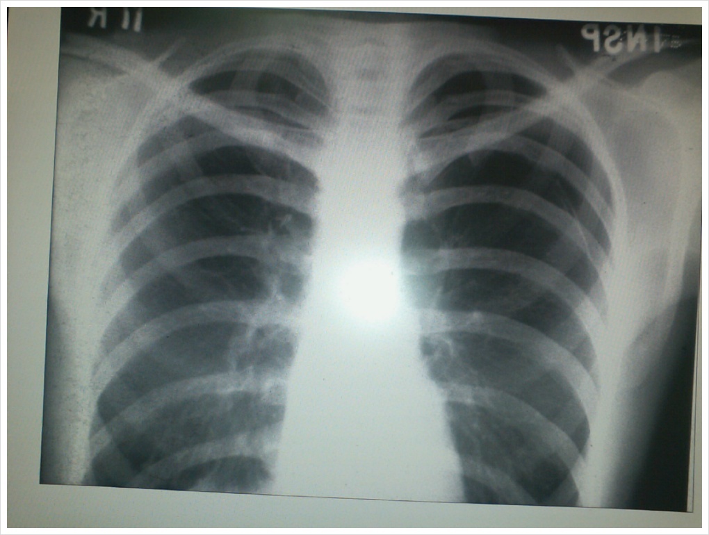
갈비뼈 골절
갈비뼈가 금이 갔을 때 대처 방법은 매우 중요합니다. 가장 우선적으로 해야 할 것은 병원에 방문해서 치료를 받는 것입니다. 금이 간 갈비뼈의 경우 진통제를 처방받거나, 기타 진료가 필요한 경우도 있습니다. 일단 병원 진료 후에는 절대 안정을 취하는 것이 가장 기본적인 대처 방법입니다. 온찜질을 하거나, 진통제를 꾸준히 복용하는 것도 통증을 완화하는 데 도움이 됩니다.
갈비뼈 골절은 부러진 것처럼 계속 아플 수 있으며, 약 한 달 정도 통증이 지속될 수 있습니다. 따라서 치료 과정에서는 인내와 주의가 필요합니다. 갈비뼈가 금이 간 경우에는 보통 진통제로 통증을 관리하면서 뼈가 붙기를 기다리는 방법이 주로 채택됩니다.
레저 활동과 갈비뼈 통증
레저 활동 중에 갈비뼈 통증을 느낄 수도 있습니다. 특히 낚시와 같은 레저 활동은 체력적으로도 힘이 들고, 갑작스러운 동작이나 물과의 접촉으로 인해 갈비뼈에 부상을 입을 수 있습니다. 따라서 레저 활동을 할 때는 안전에 유의하고, 구명조끼를 항상 착용하여 물에 빠지는 사고를 예방하는 것이 중요합니다.

결론
갈비뼈에 금이 가면 통증이 나타날 수 있으며, 양옆 구부정한 자세를 취하게 되어 척추나 허리 등 다른 부위에도 영향을 줄 수 있습니다. 증상이 나타나면 무시하지 말고 가능한 빨리 병원을 방문하여 치료를 받는 것이 중요합니다. 갈비뼈 골절의 경우 치료 기간이 약 한 달 정도 소요될 수 있으므로 인내를 가지고 치료에 임해야 합니다. 또한 레저 활동을 즐기는 경우에는 안전에 유의하여 부상을 예방하는 것이 필요합니다.
여러분의 건강을 위해 항상 안전을 우선으로 하고, 통증이 나타나면 적절한 치료를 받는 것이 중요합니다. 갈비뼈에 금이 가는 것을 예방하기 위해서도 적절한 자세와 안전 조치를 지키는 노력이 필요합니다. 건강한 삶을 위해 항상 주의하며 즐거운 레저 활동과 일상 생활을 즐기시기 바랍니다.
[Table]
다음은 갈비뼈에 금이 가면 보이는 증상과 대처 방법을 정리한 표입니다:
| 증상 | 대처 방법 |
| 갈비뼈 통증 | 진통제 복용, 안정 및 온찜질 |
| 재채기 통증 | 특별한 대처 없이 통증이 완화되기를 기다림 |
| 구부정한 자세 | 허리나 척추에 무리가 가지 않도록 주의 |
| 금이 간 갈비뼈 | 치료 받으며 인내와 주의가 필요 |
| 레저 활동과 부상 | 안전 조치를 취하고 구명조끼 착용 |
주의 : 본 블로그 포스팅은 의학적인 자문을 대체하지 않으며, 갈비뼈 통증이 지속될 경우에는 반드시 의사와 상담하여 정확한 진단과 치료를 받아야 합니다.
갈비뼈에 금이 갔을 때 좋은 음식
자연동 산골 효능과 부작용
안녕하세요! 오늘은 갈비뼈에 금이 갔을 때 좋은 음식과 함께 자연동 산골의 효능과 부작용에 대해 알아보려고 합니다. 갈비뼈가 아픈 상황은 누구나 한 번쯤 경험해보는 불편한 증상이며, 이를 개선하는데 도움이 될 수 있는 음식과 자연동 산골의 특성을 함께 살펴보겠습니다.
갈비뼈 통증과 자연동 산골의 효능
갈비뼈 통증은 충격으로 인한 골절이 아니더라도 발생할 수 있는 증상입니다. 통증을 완화하고 갈비뼈의 회복을 돕기 위해 다양한 방법이 사용되며, 한약재인 자연동 산골이 그 중 하나입니다.
자연동 산골이란?
자연동은 한약재로 사용될 때 산골이라고 불립니다. 산골은 한방의 약재로, 골절이나 골다공증 환자에게 효과가 있다고 알려져 있습니다. 최근 연구에서는 자연동이 포함된 처방을 토끼의 대퇴골을 골절시켜서 관찰한 결과, 가골 성장이 대조군에 비해 빠른 것을 관찰하였으며, 부러진 부위가 다시 부러질 때 견인력이 대조군에 비해 큰 것을 확인하였습니다.
자연동 산골의 효능
자연동 산골은 갈비뼈 통증 완화에 도움이 될 수 있습니다. 주요 효능으로는 다음과 같습니다:
- 통증 완화: 갈비뼈 주변의 통증을 완화하는데 도움이 됩니다.
- 회복 촉진: 갈비뼈의 손상된 부위의 회복 속도를 촉진시키는데 도움이 됩니다.
- 강한 견인력: 부러진 부위가 다시 부러질 때 견인력이 강해져 재발을 예방하는 효과가 있습니다.
하지만 효능을 제대로 발휘하기 위해서는 제대로 된 산골을 선택하는 것이 중요합니다. 이후에 설명할 부작용과 관련하여, 어혈이 없는 사람이나 음허증인 사람은 자연동을 복용하지 않는 것이 좋습니다. 또한, 제대로 법제가 되지 않은 산골은 부작용이 크므로 반드시 피해야 합니다.

갈비뼈 통증 완화를 위한 음식
갈비뼈에 금이 갔을 때 통증을 완화시킬 수 있는 음식들이 있습니다. 이 음식들은 갈비뼈 주변의 염증을 줄이고 회복 속도를 촉진하는 데에 도움이 됩니다. 다음은 갈비뼈 통증 완화에 좋은 음식들입니다:
1. 산골을 포함한 한방차
산골을 주요 성분으로 하는 한방차는 갈비뼈 통증을 완화시키는 데에 효과적입니다. 자연동 산골이 포함된 한방차를 선택하여 마시는 것이 좋습니다. 하지만 어혈이 없는 사람이나 음허증이 있는 사람은 섭취를 피해야 합니다.
2. 미역국
미역국은 갈비뼈 통증 완화에 도움이 되는 음식 중 하나입니다. 미역에 함유된 다양한 영양소는 갈비뼈 주변의 염증을 줄이고, 통증을 완화시키는데 효과가 있습니다.
3. 오메가-3 지방산 함유 식품
오메가-3 지방산은 염증을 억제하는 효과가 있으며, 갈비뼈 주변의 염증을 완화시키는 데에 도움이 됩니다. 대표적인 오메가-3 지방산 함유 식품으로는 생선(연어, 고등어 등)과 호두, 아몬드 등이 있습니다.
자연동 산골의 부작용과 주의사항
자연동 산골은 효능이 있지만 부작용도 있을 수 있습니다. 어혈이 없는 사람이나 음허증인 사람이 자연동을 복용하면 부작용이 크므로 반드시 복용을 피해야 합니다. 또한, 제대로 법제가 되지 않은 산골은 부작용이 크므로 절대로 피해야 합니다.
따라서 자연동 산골을 복용하고자 할 때에는 신중히 선택하고, 의사 또는 한의사와 상담하여 적절한 처방을 받는 것이 중요합니다.
요약
갈비뼈에 금이 갔을 때 통증을 완화시키기 위해 자연동 산골이 도움이 될 수 있습니다. 자연동은 한방의 약재로, 골절이나 골다공증 환자에게 효과가 있다고 알려져 있으며, 갈비뼈 통증 완화에도 효과가 있습니다. 하지만 자연동 산골은 어혈이 없는 사람이나 음허증인 사람은 섭취하지 않아야 하며, 제대로 법제가 되지 않은 산골은 피해야 합니다.
갈비뼈 통증을 완화시키는 데에는 산골을 포함한 한방차나 미역국, 오메가-3 지방산 함유 식품을 섭취하는 것이 도움이 될 수 있습니다. 하지만 식사나 처방을 받을 때에는 항상 개인의 상태를 고려하여 적절한 음식을 선택하는 것이 좋습니다.
갈비뼈 통증이 지속될 경우, 전문의의 상담을 받아 적절한 치료와 관리를 받는 것이 중요합니다. 건강한 갈비뼈로 더욱 행복하고 건강한 삶을 살아가시길 바라겠습니다.
'기타 > 생활정보' 카테고리의 다른 글
| 삼성화재 주가와 배당금, 배당락일에 대한 분석 (0) | 2023.11.09 |
|---|---|
| 프랭크버거 메뉴 'JG버거 세트', '더블치즈버거 세트' (0) | 2023.08.13 |
| 코카콜라 피크닉 매트 (0) | 2023.08.05 |
| 윈도우 10, 11 HEVC 코덱 무료 설치 방법! 장비제조업체 H.265 다운로드 HEVC Video Extensions (0) | 2023.08.02 |
| 볼보 xc90 인수 단점 굿즈 - T8 얼티메이트 브라이트 PHEV 플러그인 하이브리드 볼보자동차 인천전시장(에이치모터스) (0) | 2023.07.30 |